Natasha Ruddock

Natasha Ruddock

Monday, 10 July 2017 17:59


Article written by Dr. Don Colbert. Dr Colbert graduated from Oral Roberts Medical School in 1984. Dr. Colbert has practiced medicine in Central Florida and has been board certified in Family Practice for over 25 years.

Even a mere 30 seconds of prayer, acknowledging God and giving thanks for all the blessings in your life, can have a powerful effect on your body, mind, and spirit. If you have a regular practice of prayer, then you are well aware that benefits are very real and wide-ranging. Many people who engage in these activities report psychological and spiritual benefits such as a sense of greater clarity, purpose, gratitude, presence, sense of connection, and overall well-being. However, these sorts of subjective benefits can be hard to measure scientifically. Interestingly, despite the difficulty in quantifying the spiritual effects of prayer, there have been many studies looking at the physical benefits of this ancient practice. A 2013 Pew Research Poll estimated that over half of Americans pray daily.

A University of Rochester study found that over 85% of people dealing with a major illness turn to prayer. Every religion or spiritual belief system has a form of prayer or meditation as a foundational principle. This shows that prayer is not merely a cultural phenomenon but a fundamental aspect of the human experience. Yet, many people still struggle to reconcile belief in the power of prayer with a scientific worldview. Duke University's Harold G. Koenig, M.D, author of several books on faith and healing, says "studies have shown prayer can prevent people from getting sick, and when they do get sick, prayer can help them get better faster. So how does that happen? Harvard Medical School cardiovascular specialist Dr. Herbert Benson discovered what is called the "relaxation response."

This is the physiological state that occurs during prayer. It involves the autonomic (automatic) nervous system shifting over to a parasympathetic (rest and digest) dominant state, as opposed to the sympathetic (fight, flight, freeze) state that most of us spend the majority of the day in. The act of prayer has shown to increase certain helpful neurotransmitters, such as dopamine, which help promote a state of relaxation, focus, motivation, and well-being. But the effects are not confined to momentary relaxation. Long-term prayer can actually rewire and rebuild the brain! With the ability to scan the brain using magnetic resonance imaging (MRI), researchers have been able to note the physiological changes that occur in the brains of those who pray regularly.

Lisa Miller, professor and director of Clinical Psychology and director of the Spirituality Mind Body Institute at Teachers College, Columbia University conducted a study on 103 people who were at a high risk of depression. Using MRI, she found that those who prayed regularly tended to have a thicker cerebral cortex which has been associated with less depression and anxiety. Another study has shown that urban children with asthma cope better when incorporating prayer into their lives. Prayer is also good for your heart. Christians have been shown to have lower average blood-pressure than non-believers. Prayer also is correlated to less heart attacks and quicker recovery from heart surgery. There is even evidence to suggest that regular prayer will help you live longer! So with all these benefits, you should consider incorporating prayer as part of your daily regimen.

According to a study published in the journal Sociology of Religion titled "Prayer, Attachment to God, and Symptoms of Anxiety-Related Disorders among U.S. Adults," looked at the data of 1,714 volunteers. What they found is that those who pray with a loving and protective conception of God experience a more dramatic reduction in anxiety related symptoms compared to those who pray without the expectation of comfort or protection. This shows us just how important faith actually is! The publishers believe that the emotional and spiritual comfort from prayer to a loving and compassionate God offers a sense of hope and security, while those who pray with a more judgmental conception of God breeds resentment, rejection, and detachment. So understanding the character of your God is important.

The most beautiful thing about all of this research is not only that it validates the ancient wisdom behind prayer, but it also shows us how incredibly easy it can be to implement powerful healing practices into our lives. With so many benefits on the physical, psychological, and spiritual levels, there is really no reason to not pray or meditate every single day! The best times of day are first thing in the morning and right before bed. However you can pray in the car on the way to work, in line at the grocery store, sitting in the waiting room at the doctor's office, or before you eat your meals. Even a mere 30 seconds of prayer, acknowledging God and giving thanks for all the blessings in your life, can have a powerful effect on your body, mind, and spirit. So what do you think? Have you been inspired to reinvigorate the prayer in your life?

Source: Breaking Christian News

Monday, 10 July 2017 17:22

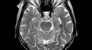
A Sheffield man has mystified the medical profession following the miraculous healing of a huge tumor on his face.

Ken Gorman suffered excruciating pain after a small lump, discovered at the end of May 2013, grew bigger and bigger. Doctors prescribed tablets for the pain and sent him to Rotherham General Hospital for investigation, where an MRI scan found three tumors (or three broken sections of a tumor) wrapped around the central nerve in the side of his face.

Surgery was arranged for early July. Meanwhile, he heard of a healing meeting at Hull City Hall led by evangelist Nathan Morris but was told there was no chance of getting tickets.

Wife Annie put out a Twitter post about her husband's need for prayer, and they decided to go along anyway—with Annie driving as Ken was in too much pain.

And thanks to a response via Twitter, they found seats on the third row.

"There seemed to be hundreds going forward for prayer," Ken recalled. "But eventually a friend helped get me to the front.

"Within the next 10 days, the huge swelling on my face had receded, all pain was gone and I was off all medication. I rang the hospital and explained—and the operation was postponed until I saw the surgeon.

"After another scan, he found that the tumors had disappeared without trace, and the operation was cancelled! The surgeon and nurses were speechless when I told them how I was healed. I have been called back for an annual check-up since then, and there is no sign of any tumor. Hallelujah, thank you Jesus!"

Ken adds that, during the lead-up to his healing, he wasn't just relying on the evangelist's prayer, but also on his personal faith.

"I remembered a Sunday message on how Jesus told us to 'speak to the mountain' in praying for seemingly impossible situations (Mark 11.22-24) and, as this was certainly my 'mountain,' I started to immerse myself in the promises of God as I stood in front of the mirror each day speaking to my mountain in the name of Jesus."

There is another Scripture passage that speaks clearly into this situation: "My son, attend to my words; incline your ear to my sayings. Do not let them depart from your eyes; keep them in the midst of your heart; for they are life to those who find them, and health to all their body" (Prov. 4:20-22).

This article originally appeared on Assist News Service.

Thursday, 06 July 2017 16:09

Jane Holloway the National Prayer Director at World Prayer Centre gives her unique perspective on prayer and mission flowing together and God is moving.

In this year of the extraordinary and prophetic promise for harvest, we are hearing afresh the call by the Holy Spirit for His Church to rise up and stand where He has positioned us to pray and work for His Kingdom to come. As we see the fault lines being more sharply exposed across our society, across our UK nations and within the body of Christ, the invitation to ‘stand in the gap’ and intercede for the broken, the lost and those without hope and offer the good news of Jesus is becoming more and more urgent.

We give thanks for all that is happening as we see prayer and mission flowing more strongly together. For example:

Thy Kingdom Come 25 May-4 June 2017
We saw millions of Christians around the world joining in unity to pray Thy Kingdom Come... Come Holy Spirit. See Archbishop Justin Welby’s report: https://vimeo.com/221257778 

Pray that every person, group, church, group of churches, Diocese which took part will recognise the vital role of prayer in their rhythm of mission and ministry and that all will continue with the pledge2pray for 5 people known to them to come to know Jesus as the year unfolds.

 

The Turning

They have just released its annual report https://www.facebook.com/theturning.eu/
‘We have had an incredible first year at The Turning and we are so excited for what is to come!  We have seen 'ordinary' Christians do extraordinary things as they step out to tell people of the love of God. We have seen amazing unity between churches. We have seen many, many people respond on the streets in towns and cities across the UK and France.

The Turning’s national Mission to Wales is this week: 6 - 15 July, 2017 across 18 locations in Wales, with 125 churches involved.
A testimony: ‘Today I’ve been out with about 30 people from The Turning in East Bristol, people of all ages, including children excited and prepared to go to tell people on the streets about Jesus. How inspiring! What was also inspiring was, that indeed, people DID want to hear about Jesus and responded in prayer, and to his tough. One man said to me “I felt God touch me”.

Pray for God’s continued protection and provision as churches get ready to link up with The Turning and its training and follow up and especially for Wales this week!

 

HOPE 2018
What a privilege it has been to be on the Leadership Team since 2006 when we first started out with HOPE08. Many thousands are praying each Friday with Friday Focus to see God’s kingdom break out in our communities as we prepare for the year of mission in 2018. There is a new HOPE 2018 video to help us spread the word. You can download it here to share with your group, church and groups of local churches.

Pray for every church to be involved in prayer, action and word mission in 2018!

 

Great Commission Website
This is an answer to many of our prayers enabling so many resources for prayer and evangelism as well as access to real stories of how people across the UK are having their lives turned around by Jesus https://greatcommission.co.uk.

Pray for much fruit to result from this website and all the partners working with this so that many people find faith in Jesus and are equipped to talk about Jesus.

 

JustOne - Emirates Stadium 8th July

Join us in praying for J John and his team as they introduce people to the Prince of Peace and the hope He offers. www.justone.co.uk

 

St Paul’s exortation

In 2 Timothy 1-4 encourages us so we can encourage others to:

Keep prayer a priority (v1) and not allow our walk with God to get squeezed and reduced by the demands made upon us.
Ensure our prayer is creative and resourced by the Holy Spirit (v1) as He guides from His word and prays through us using the different giftings .
Remember that prayer is a vital part of God's plan to bring in His Kingdom, as we:

  • Take up our responsibility to pray for all leaders (v2)
    • Especially for those involved in Northern Ireland Assembly talks in these days and weeks so that His Kingdom is worked through in every decision made .
  • Play our part through our prayers and actions so that His presence may be made known in our communities (v2)
    • A number of us in the Houses of Prayer network have felt led to have some designated times of worship and prayer in these next weeks as we call out for protection for our nations in light of the terrorism threat especially with so many people on the move and at events during the summer holidays. Do continue to use the Coastlands and Gateways strategic call to pray..
  • Persevere in praying for those we love, know and meet (v4) – that they would come to know Jesus

 

Caleb Prayer

O High King of Heaven,
Have mercy on our Land.
Revive your Church.
Send the Holy Spirit for the sake of the lost, the least, and the broken.
May your Kingdom come to our nation.
In Jesus’ mighty name.
Amen.

Copyright www.ffald-y-brenin.org

 

Thursday, 06 July 2017 15:19

Last week, I was at a city prayer breakfast for the business community. One of the speakers had run London Underground, where he would get regular night time calls about potential terrorist threats and a range of other issues. Now he leads the UKs largest rail franchise facing regular passenger complaints, constant Government contact and serious disagreements with some belligerent unions. The guy is a committed Christian in one of the most demanding jobs in the country. He depends on people supporting him in prayer, and being prepared to stand with him when the pressures mount.

It is easy to see him as being on the front line. He is constantly watched, his behaviour is commented on. People are asking – “can we see Jesus in his life”? Many Christians in the workplace are finding the going is tough. The hours continue to grow, the pressures mount and people fight desperately to balance their commitment to work with their commitment to family and church. We believe that Christians in the workplace have a ministry. They are on the frontline with hurting people, whose marriages are crumbling, finances are stretched, they have ageing parents, they suffer stress and uncertainty.

At last week’s prayer breakfast we were reminded that “whole people” go to work. They are more than their job description. They have hopes, fears, concerns and aspirations. The workplace can be God’s place. For many years I exchanged email messages every week with a small group of other business people so we can pray for each other in work. There are many times when I have sat in demanding meetings thinking “the guys are praying for me, I should expect wisdom, bless this meeting Lord.”

3 things to do to see a change in your working life:

  • Get regular prayer support - The model of a small group meeting from time to time and praying for each other by phone, email or Whatsapp works brilliantly. I have seen so many miracles in the workplace and sometimes I have just been able to stand with colleagues as they hit hard times. My prayer partners have stood with me through job and career changes and blessed me every week. God cares about the workplace.
  • Offer your working week to God in prayer – invite God into your working week and every morning can make a huge difference. Asking God to show you what you need to do when, who to speak to and who not to. God shows up and it makes a really impact when we are led by Him in our working days.
  • Pray for the business sector and friends who work in business – We reap what we sow, so when we pray for the business sector and our work colleagues, we will also reap the rewards of those prayers as we begin to see God move.

 

Steve Botham is the Director of World Prayer Centre and he comes from a business background, having worked in senior roles in HR and Training in the Motor Industry and Financial Services.

Monday, 03 July 2017 16:46

Steve Botham shares some feedback from Alistair Petrie's recent visit to the UK for the 'Healing the Land' tour. 

Alistair and Marie Petrie, along with the World Prayer Centre team travelled across the nation during May to talk about Healing the Land. Alistair packs a huge amount of research and thought into his teaching and we will not attempt to give a full summary here. More can be got from his books and teaching material. But he had some very key messages to give and we want to capture some key themes.

The land is mentioned 1717 times in scripture, it is a major theme. God is constantly reviewing our stewardship of the land and the Word gives a range of pictures of dry and unproductive land and of land in abundance and harvest. We had one day for farmers and the rural community and Alistair spoke of his friend Jim who has seen his yield rise from 10,000 bushels an acre to 100,000 bushels and who exports to 80 countries. After confessing some sin on the land from his father’s time God healed his land and brought spectacular increase. So healing the land can have a clear physical impact, but it also links to those whose ministry is in the city, here the land maybe our streets, businesses, schools and community but God still wants to bring blessing.

What causes “dryness” and lack of fruitfulness on the land? It can be issues like pride, denominationalism, disunity, a spirt of control, fear, a famine of the word of God, immorality, negative words or curses, or bloodshed. These issues can give access to the demonic. The starting point for healing will be seeking God’s wisdom and doing some research.

Authentic transformation starts with seeking God’s presence and asking Him to bless our ministry whether it be in business, government, the community or the church. We need to commit to humility, holiness, unity, integrity, openness and God shaped prayer. Alistair talks about seeking God and asking questions – why is there no revival? Why are non-Christians blinded to the truth? What are the barriers to God moving? What do we need to repent of? As we seek God we are waiting on a vision – what will it look like when the spirit is moving here? What will happen when God is the “boss” of the city? What will happen when there is high expectancy and hunger in the church?

Alistair talked about the fear of the Lord. This is mentioned 365 times in the scripture. It focuses on fear like that of sons who are fully focused on obeying and pleasing their father. They want to be right with Him and have a deep appetite for His awesomeness. Paul tells the Philippians “work out your salvation (live your Christian life) with fear and trembling. Philippians 2:12. Psalm 25.14 says “The friendship of the LORD is for those who fear Him, and He makes known to them His covenant.” This is a remarkable verse of promise – as we learn to fear the Lord and put Him above everything else we enter into covenant with Him.

Finally it was very helpful to have Alistair’s perspective on what is happening in the UK at the moment. As someone who frequently travels the globe to see revivals and moves of God in many countries he was very encouraged by the spiritual changes and deeper hunger in the UK. He said we are in a time of shaking – characterised by a range of ‘suddenlies and unexpected things’ His belief is that God is shaking the UK to inform. Purify, direct and correct His church.

To find out details of Alistair Petrie's next visit to the UK, join the WPC mailing list on our home page.

 

Rev. Dr. Alistair Petrie is the Executive Director of Partnership Ministries, a global ministry that teaches the principles and relevance of the Gospel and its relationship to the Marketplace. Partnership Ministries is positioned as a ministry for the 21st Century Church and combines prayer and research in order to prepare Communities, Cities, Nations, and the Marketplace for lasting revival, authentic transformation and the release of Kingdom culture. His most recent book - In Holy Fear - was released in 2015 which addresses the topic of the Fear of the Lord in a prophetic and practical manner as the "missing ingredient" for authentic community transformation.

Wednesday, 28 June 2017 10:10

There is an escalation of turbulence across the globe, evidenced in a series of significant events. We are particularly aware of this in the UK having suffered two terrorist attacks in London, one in Manchester and, what appears to be a revenge attack in North London, as well as the shocking towering inferno in Kensington, with the loss of many innocent lives. All these events have taken place within the period of a remarkable General Election. The Lord has already positioned and mobilised His people and prayer is rising across the nation.

WE SENSE THERE IS A HEIGHTENED CALL TO WATCH AND PRAY IN THE COMING TEN DAYS. This is not based on any understanding or interpretation of what is happening, but rather, a simple response to the prompting of God’s Spirit. In obedience, we are sharing this prompting with as many as possible.

We have been led to pray for God’s Word to be released across the UK. “For the word of God is living and active. Sharper than any double-edged sword, it penetrates even to dividing soul and spirit, joints and marrows; it judges the thoughts and attitudes of the heart. Nothing in all creation is hidden from God’s sight. Everything is uncovered and laid bare before the eyes of Him to whom we must give account”. (Heb. 4.12-13). The eyes of the world are on Britain right now. As we, through our prayer contend for these islands, we believe this will also impact the nations of the world.

We are not proposing a specific strategy for prayer. We believe God’s Spirit will lead people in how to pray on a day to day basis and that during this time He will bring revelation. We are aware that the Queen’s speech, a cause for contention, is tomorrow, the day of a major pagan celebration. If you prefer to have a written form of prayer there is one overleaf, written by one our members several years ago. We were reminded of this having recently received a prophetic word, which may also inform our prayers:

“I equip you with the sword of the Holy Spirit. Use it to cut the strings connecting the puppets to the puppet-master. Keep doing this until they fall. Then you may restore my name to people’s lips and my authority to the structures of human authority. My people, I would remove those who exercise power without my authorisation and replace them with those whom I endorse. Whatever they say or do, you retain the power of prayer and the gifts only faith can receive. You do make a difference – so use these gifts for me.”

For those in the Manchester area, there will be a Maranatha ‘First Sunday’ gathering on 2nd July, immediately following this period of concerted prayer. Our theme will be ‘Contending for the Nation’. We encourage you to share this call with all those who are concerned for Britain at this time.

Jesus says “I will l give you the keys of the Kingdom of heaven; whatever you bind on earth will be bound in heaven, and whatever you loose on earth will be loosed in heaven” (Matt.16.19). “In fact no-one can enter a strong man’s house and carry off his possessions unless he first ties up the strong man” (Mk.3.27).

A PRAYER
for each nation of the United Kingdom

In the Name of Jesus and by His Power and Authority:

We bind our nation to the Blood of Christ Jesus.
We bind the Church, the Body of Christ, to the control of the Holy Spirit,
to the Cross and its Truth
We bind all unborn babies to the care of Almighty God.
We bind the Judaeo-Christian family tradition and all communication between
parents and children to the divine control of the Holy Spirit.
We bind all marriages with cords of God’s Supreme Love.
We bind the sexuality of the people of this nation to the purity of Jesus Christ.
We bind the media and all art forms to the righteousness of Jesus.
We bind our Government to the sovereign control of the Holy Spirit
and the will of Almighty God.
We bind the feet of our nation’s people, to the control of the Holy Spirit
and the Light of God’s Word.
We bind the strong man’s power over our nation and take back his plunder.

In the Name of Jesus Christ – the Name above all names:

We loose from our nation the spirit of antichrist.
We loose from our nation all lying spirits.
We loose from our nation’s unborn babies, the spirit of death.
We loose from all who are vulnerable to suicide and euthanasia, the spirit of death.
We loose from our nation all spirits of adultery and promiscuity.
We loose from our nation spirits of distorted sexuality.
We loose the peoples of this nation, from witchcraft, sorcery,
and all contact with the occult.
We loose from the Church counterfeit gospels and spirits of idolatry.
We loose from our land spirits of rejection.
We loose all illicit trade from our shores.
We claim purity, truth, justice and righteousness for our land.

We thank you Almighty Father that whatsoever is bound and loosed on earth is bound
and loosed in heaven in Jesus’ mighty Name.

AMEN

Download the call as a PDF document

 

Source:  Maranatha Community

Wednesday, 28 June 2017 10:03

The summer holidays are almost upon us, heralding the start of a wide range of Christian activities involving our young folk across Scotland. There are 25 Scripture Union holiday clubs and missions planned in association with local churches which will reach many hundreds of children and youth. Many local churches will also be running their own week-long holiday clubs and other summer events drawing in thousands.

There are 46 SU holiday activity events which, based on previous years, will involve around 1,500 young folk, and several hundred youth and young adults will be at Lendrick Muir in Kinross in the first week of August for Soul Survivor Scotland 2017.

These and many other events and activities provide a rich opportunity to impact our young generation for the Gospel and introduce them to Jesus. There are hundreds of testimonies over many years of how important being at one of these camps has been in a person’s journey of faith, of how they were helped and guided into making a decision to commit their lives to Jesus.

Please pray:

  • for the safety and security of everyone involved in organising and taking part in every club, camp, event or other activity – if there is one happening in your church or near you – commit to pray for it each day it is on;
  • for health, strength and energy for the teams leading each club, camp etc.;
  • for wisdom and discernment to handle all the situations that will no doubt arise, and that each team would model and demonstrate the love of the Father to each child and young person attending;
  • for a wide variety of creative ideas to interest, excite and engage all ages;
  • that each club etc. would be more successful than the organisers dared to believe, with significant numbers either making a commitment to or wishing to know more about Jesus, and developing a hunger to get to know God’s Word;
  • that the transforming of many young lives would in turn contribute to transforming their homes, schools, colleges and communities.

 

Source:  Pray for Scotland

Wednesday, 21 June 2017 16:59

Across the nation people are saying “It is time to pray.” No wonder we have been rapidly plunged into a time of confusion and uncertainty. Terrorism has created fear and suspicion and we have the grief of devastated parents, families and friends and the increasing pressure on our public services.

The Grenfell Tower fire has added to that fear and grief and created a sense of rage against greed and lack of care that exposed so many people to the fast spreading flames.

The political uncertainty surrounding a hung parliament and a Prime Minister who many see as ‘damaged goods’ is creating a lack of confidence – happening so soon before complex and difficult Brexit talks adds to the nation’s vulnerability.

On top of all this, we have a range of vitriolic attacks on Christian politicians that either causes them to water down the gospel or risk being silenced in a range of areas.

 

A CALL TO PRAYER
The United Kingdom urgently needs your prayers. In June and July, we are asking church leaders to give prayer a central part in their services, small groups and bible studies to put quality time aside for prayer. As individuals, pray how you want to – in a quiet place, on a busy bus, in your car, at home, work, school or leisure.

 

HOW CAN I PRAY?
Here are four simple to follow themes:

Key leaders
Pray for key people in the nation and locally, that God will give them great wisdom and authority.
• Cressida Dick – the Metropolitan Police Commissioner and other Police leaders.
• Politicians – all of them under enormous stress – from Theresa May to Jeremy Corbyn, Amber Rudd the Home secretary and David Davis leading the Brexit negotiations.
• Pray for our national church leaders to be heard.

Protection
Pray as you drive, walk and travel “Lord protect and defend this area”.
• For God to expose and confuse terrorists.
• Pray against lawlessness breaking out on our streets or clashes between different communities.
• Pray for the Anti-terrorist teams near you to have Godly wisdom and insight.

Against fear
The enemy’s tactic is to make us afraid to go anywhere, to put a divide between Muslims and other communities and undermine our confidence that God is Sovereign.
• Pray for God does not give us a spirit of fear “but gives us love, power and self-discipline.” 2 Tim: 1.7. We are in an intense spiritual battle.
• Pray for God’s love, power and self-discipline to replace fear in crowded areas, schools, and communities.

God’s Kingdom to Come
We are in a spiritual battle. Many people are coming to Christ including many Muslims. The nation has been stirred to pray and the enemy hates the church, hates children and hates the Gospel. In the midst of uncertainty, let us pray this simple but powerful prayer – “Your Kingdom Come and your will be done” in the places we love.


Jesus wept. The Holy Spirit is the comforter. Let us pray for a great hunger for the presence of God in His Church. This nation needs the love of Christ and the peace of the Holy Spirit and it needs a Church that can take Jesus into every corner of our Isles. So our final prayer is:

“Lord draw me close to You, may I see Your face and know the depth of Your love. Amen”

 

Wednesday, 21 June 2017 16:49

Like so many of us at this time I have been asking the Lord, "Why are these horrific violent, deadly and disastrous things happening in our nation?"

I believe the Lord has shown us that a door has been opened through the recent two elections and Brexit referendum where sadly many Christians were dictating how people should vote. There have been so many people who have verbally attacked others who have different opinions. This has opened a door for a political spirit to come into our nations which brings division, disunity and so much wickedness. Let me be clear this is not saying people should not be involved in politics but that we are to be led by God and not a wrong spirit.

Kris Valotten recently said, "The Signs of a Political Spirit"

1) The political spirit always needs an enemy! This spirit is more concerned with winning an election than with solving a problem.
2) The political spirit demonizes anyone who doesn’t agree with them. In other words, we don’t just see them as wrong on an issue, we view them as evil.
3) The political spirit imprisons our minds and reduces us to partisan opinions. This spirit separates people into two categories; winners and losers. In this environment, straw polls replace practical wisdom and success is measured in media bits rather than real solutions.
4) True governance is displaced by political polarization in which, people are expected to support a party rather than legitimate answers. This political spirit replaces national patriotism with loyalty to a party. This attitude creates a culture where we don’t have permission to think for ourselves but it’s “decision by affiliation.”

We need to repent where we have done that, where we have grumbled about our government and not prayed for them. We need to make a decision to seek God for the best for our nations at this difficult time.

1 Timothy 2:1 is a clear mandate to us, "I urge, then, first of all, that petitions, prayers, intercession and thanksgiving be made for all people – for kings and all those in authority, that we may live peaceful and quiet lives in all godliness and holiness. This is good, and pleases God our Saviour, who wants all people to be saved and to come to a knowledge of the truth."

Wherever we are let us choose to pray FOR the government the electorate chose to hear God for the strategies to take us forward.

We need to pray for the media and those who have agendas to disrupt and increase the chaos. Please pray this week as the Queen's Speech takes place on Wednesday to signal the start of the Parliamentary year. There are many aiming to cause trouble and there are many hurting angry people who can be easily mobilised without realising they are being manipulated.

Let us pray that God will refresh Prime Minister Theresa May, those in government, Mayor of London Sadiq Khan, the Police, Fire Service, Ambulance Services and Health Services who must all be completely overwhelmed and exhausted by all that has happened.

Please pray for your community and let us join together to pray for London at this vulnerable time. Pray that every plan and scheme of the enemy will be exposed and stopped in it's tracks before it comes to fruition.

Let us turn our eyes upon Jesus, the HOPE of the world and watch to see what He is doing in our nations at this time.

Jeremiah 29:7 "Seek the peace and prosperity of the city to which I have carried you into exile. Pray to the Lord for it, because if it prospers, you too will prosper."

God bless you mightily as you stand before God for our nations.

 

Source:  Coastlands & Gateways

Wednesday, 14 June 2017 13:42

We are hearing amazing stories coming out of the Middle East about how Jesus is at work in visions, signs and wonders!  Watch this true story of an ISIS 'Prince' who found salvation in Christ.  

Nothing is too hard for the Lord!